Tratamiento Radioterapia Tridimensional Conformada

Es una terapia ambulatoria, no invasiva, aplicable a todas las patologías oncológicas tratables con radiaciones.

Actualmente se utiliza como tratamiento estándar en los centros internacionales más avanzados.

El gran desarrollo experimentado en el campo de las Técnicas de Imágenes en Medicina, conjuntamente con nuevas computadoras de enorme velocidad de procesamiento y manejo de información, así como la implementación de complejos modelos físico-matemáticos para los cálculos de interacción de las radiaciones con la materia, han hecho posible el desarrollo de esta técnica que ya lleva varios años de aplicación exitosa a nivel mundial.

La Radioterapia Conformacional con Planificación Virtual Tridimensionada permite reproducir una imagen exacta del tumor y los órganos vecinos de modo que la radiación conforme el contorno del área de tratamiento, logrando optimizar la acción terapéutica sobre la zona a tratar sin afectar el tejido sano, dando como resultado una disminución drástica de efectos colaterales.

La visualización tridimensional del tumor en la computadora, con la reconstrucción espacial de las estructuras anatómicas y las distribuciones de dosis volumétricas, permite concentrar altas dosis terapéuticas en el tumor con mínimo compromiso de los órganos vecinos.

Metodología

Para llevar adelante este proceso el Centro Médico Privado Dean Funes cuenta con un equipo multidisciplinario de profesionales especializados: médicos radio oncólogos, físicos médicos, ingenieros, dosimetristas y técnicos. Además dispone de la tecnología necesaria para llevar adelante de manera exitosa este procedimiento: sistemas de inmovilización adecuados, adquisición de tomografías especiales del paciente, sistema de planificación tridimensional por computadora, acelerador lineal, mecanismos de conformación de campos y sistemas adecuados para el control de calidad de todo el proceso.

Inmovilización y localización

Se ubica al paciente en el simulador-localizador para proceder a la alineación del mismo y la localización de la zonas anatómicas de interés por visión fluoroscópica dinámica. Una vez determinada la posición de tratamiento, se selecciona el mejor dispositivo de inmovilización, dependiendo de la región anatómica a tratar. Estos dispositivos son personalizados y para ello se usan colchones moldeables con bomba de vacío (tipo Alpha Cradle®, Vac Lock®) y máscaras termo moldeables, entre otros.

Adquisición y transferencia de imágenes anatómicas

El paciente se traslada al tomógrafo donde se procede a realizar los cortes necesarios para reconstruir virtualmente la zona de interés. Se realiza una tomografía conservando el mismo posicionamiento del paciente establecido en el simulador, utilizando los accesorios e inmovilizadores diseñados y construidos para tal fin.

Para la obtención de los cortes tomográficos se siguen protocolos establecidos para cada caso por la Institución. Las imágenes adquiridas se envían a la computadora de planificación tridimensional a través de un software exclusivo de formateo, procesamiento y transmisión digital de las imágenes clínicas.

Ingreso de imagenes, Planificacion y Herramientas del Sistema de Planificacion Tridimensional

El sistema computarizado de planificacion asociado a este tipo de tratamientos (3DCRT), permite el ingreso automatico de las imagenes tomograficas del paciente en cantidad y resolucion suficientes para su posterior reconstruccion tridimensional. De esta manera se tiene al paciente virtual.

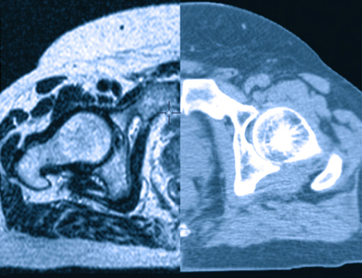
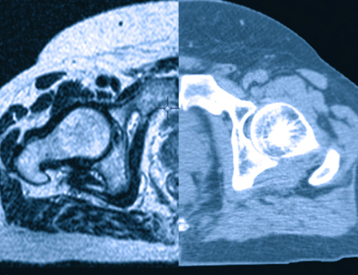
Para la planificacion este sistema permite la incorporacion de metodos complementarios de imagenes, siendo la base la Tomografia Axial. Estas imagenes pueden fusionarse con imagenes de Resonancia Magnetica y/o Tomografia por emision de positrones (PET), permitiendo al medico pasar de un conjunto a otro de imagenes de manera continua para seleccionar la mejor visualizacion tanto del blanco como de otras estructuras de interes.

Sistema de Planificación

El Sistema de Planificación cuenta con diversas herramientas para que el médico radio oncólogo proceda a la delineación tanto del volumen blanco como de las estructuras anatómicas relevantes:

  • Detección automática de límites o contornos, basada en la densidad electrónica de los tejidos, lo que asegura la exactitud requerida en esta fase del proceso.
  • Automargin para agregar con total precisión un margen tridimensional isotrópico o anisotrópico de acuerdo a lo establecido por el radio oncólogo.
  • Beam Eye View (BEV), o visión focal del haz permite visualizar los diferentes contornos delineados tal como se verían desde el foco del acelerador. Los físicos y dosimetristas usan esta herramienta para analizar las posibles incidencias de los haces de radiación para lograr la mejor vista del blanco evitando la irradiacion de la anatomía normal.
  • Conformación automática de haces de tratamiento: usando el BEV junto con esta herramienta se puede generar un contorno alrededor del blanco dejando el margen necesario para lograr la cobertura dosimétrica del mismo, protegiendo los tejidos sanos.
  • Producción de Planos para la conformación de los haces. Para cada paciente y cada incidencia la computadora genera planos (templates) a escala para elaborar moldes anatómicos que servirán para la fabricación de las protecciones que conformarán cada campo de irradiación.
  • Digital Reconstructed Radiographs (DRR): Radiografías reconstruidas digitalmente. Esta herramienta del sistema, permite visualizar las diversas densidades tisulares, en cada angulación o BEV que se requiera, incluyendo la visión superpuesta de cada campo conformado.

Cálculo de dosis

Estas radiografías son de fundamental importancia para asegurar la calidad del tratamiento radiante a efectuar: permiten verificar que el tratamiento planificado está siendo entregado con una alta precisión, tanto por comparación con las placas de localización obtenidas en el simulador como por la comparación con las placas de verificación obtenidas en el equipo de tratamiento.

Dose Volume Histograms (D.V.H.)

En base a los cálculos dosimétricos tridimensionales, el programa genera gráficos cartesianos representando los porcentajes del volumen total de cada órgano de interés que son cubiertos con diversos niveles de dosis.

Esto facilita la decisión clínica entre varias alternativas terapéuticas en función de la tolerancia de los órganos críticos y la óptima cobertura del volumen tumoral.

Simulación para verificación

Una vez aprobado el plan se construyen las protecciones de acuerdo a los planos obtenidos por el sistema de planificación y se verifica su correcta fabricación e identificación.

Se procede a la localización y verificación de todos los campos del paciente en una segunda simulación, utilizando para ello las radiografías reconstruidas digitalmente (DRR), tanto en las direcciones de haces de tratamiento, como localizadoras ortogonales.

Se verifican nuevamente las protecciones pero ahora teniendo en cuenta la anatomía del paciente.

Sala de tratamiento

Finalmente el paciente es transferido al acelerador lineal para recibir diariamente el tratamiento, verificándose previamente la correcta transferencia del plan mediante la comparación de imágenes obtenidas en el acelerador lineal con las correspondientes DRR. Todos los pasos en el proceso de la 3DCRT se realizan bajo un riguroso sistema de garantía de calidad, tanto en los aspectos clínicos como dosimétricos, para verificar previo y durante el tratamiento que las especificaciones de la dosis y el plan de tratamiento sean entregados precisamente al paciente, en las sesiones diarias, tal como fueron planificados.